Greffe de gencive
Les greffes de gencive font partie d’un domaine spécifique de la dentisterie qui se concentre sur les tissus mous de la bouche : la chirurgie muco-gingivale.
Cette discipline vise à corriger les anomalies des gencives et des tissus muqueux, améliorant ainsi à la fois la santé bucco-dentaire et l’esthétique du sourire.
Qu’est-ce que la chirurgie muco-gingivale ?
La chirurgie muco-gingivale traite les problèmes de gencives et de tissus mous autour des dents et des implants dentaires. Elle se concentre principalement sur la correction des défauts de gencives et sur l’amélioration de la stabilité des dents. Cette intervention peut résoudre des problèmes tels que la récession gingivale, les poches parodontales et l’insuffisance de tissu kératinisé.

Pourquoi est-elle nécessaire ?
Cette chirurgie devient nécessaire lorsque les patients présentent des anomalies des gencives qui peuvent affecter la santé bucco-dentaire. Par exemple, la récession gingivale expose les racines des dents, augmentant le risque de caries et de sensibilité dentaire. En corrigeant ces défauts, la chirurgie muco-gingivale améliore non seulement la santé des gencives mais aussi l’esthétique du sourire.
Ces thérapeutiques muco-gingivales concernent également les implants dentaires. En effet de nombreuses études scientifiques ont prouvé l’importance de disposer d’une gencive ferme et kératinisée pour assurer efficacement la protection des implants dentaires et ainsi améliorer leur longévité.
Les indications de la chirurgie muco-gingivale
La chirurgie muco-gingivale est indiquée dans plusieurs situations. Comprendre ces indications permet de déterminer quand cette intervention est nécessaire.
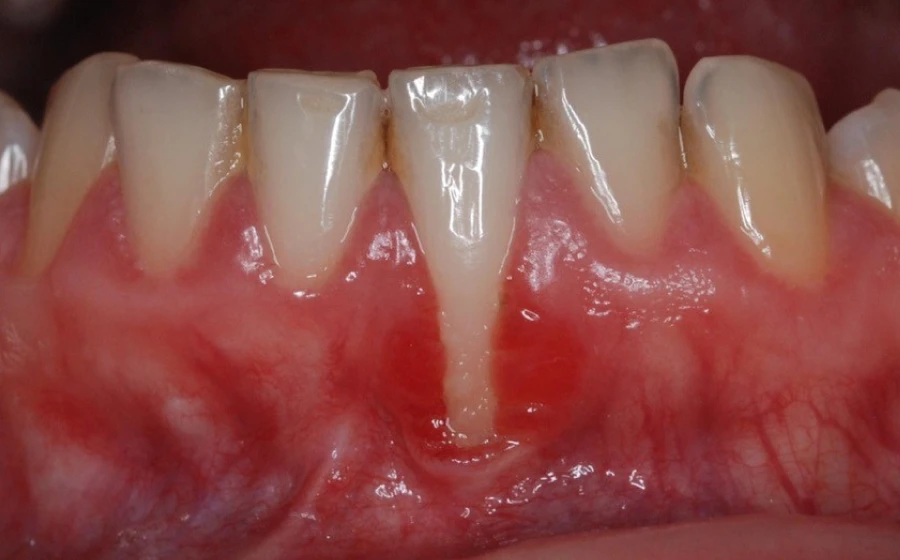
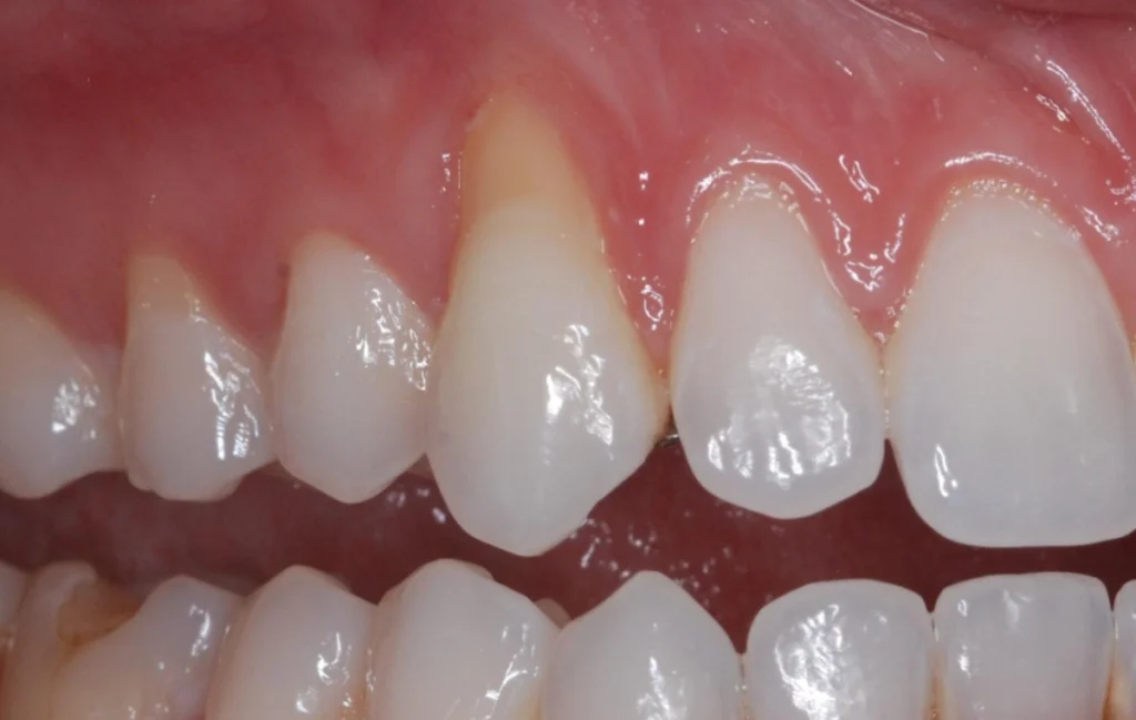
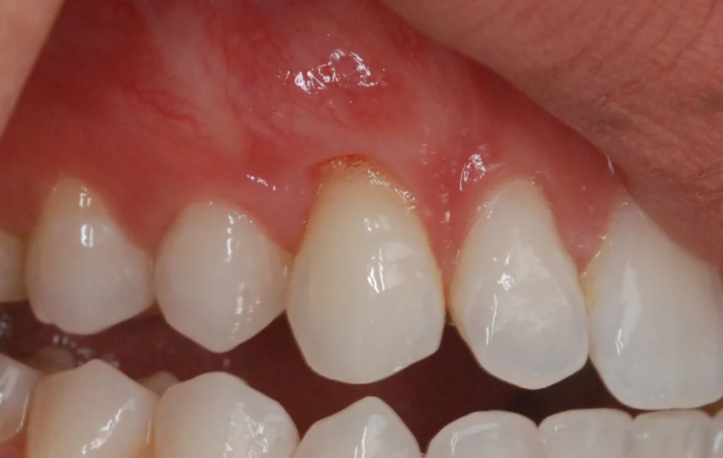
La récession gingivale
La récession gingivale est l’une des principales indications. Elle survient lorsque les gencives se rétractent, exposant les racines des dents. Cela peut être dû à un brossage agressif, à une maladie parodontale ou à un traumatisme. La chirurgie muco-gingivale couvre les racines exposées et renforce les gencives.
L’insuffisance de tissu kératinisé
Une autre indication est l’insuffisance de tissu kératinisé autour des dents mais aussi des implants dentaires. Le tissu kératinisé est essentiel pour la stabilité des gencives, une insuffisance de ce tissu peut entraîner des infections et des inflammations. La chirurgie muco-gingivale ajoute du tissu kératinisé pour améliorer la santé des gencives.
Les poches parodontales profondes
Les poches parodontales profondes nécessitent également une intervention. Ces poches se forment lorsque la plaque et le tartre s’accumulent sous les gencives, provoquant une inflammation. La chirurgie muco-gingivale élimine ces poches et favorise la guérison des gencives.









Les techniques de chirurgie muco-gingivale
Il existe plusieurs techniques utilisées en chirurgie muco-gingivale. Chaque technique est choisie en fonction des besoins spécifiques du patient et de la condition de ses gencives.
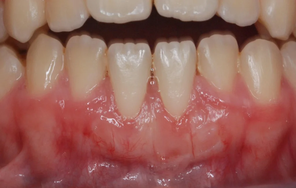
La greffe gingivale
La greffe gingivale est l’une des techniques les plus courantes. Elle consiste à prélever du tissu gingival d’une autre partie de la bouche, souvent le palais, et à l’intégrer à la zone affectée tout en remontant les tissus gingivaux. Cela permet d’augmenter l’épaisseur de la gencive pour la renforcer mais aussi de recouvrir les zones de récessions gingivales.
Le Dr Alexandre Berdugo emploie les techniques de microchirurgie les plus récentes pour obtenir les meilleurs résultats en réduisant le traumatisme tissulaire et ainsi limiter au mieux les suites post-opératoires.
Le prélèvement du greffon
La zone de prélèvement privilégiée est le palais, toutes les études scientifiques montrent que l’on obtient les résultats les plus fiables et les plus durables lorsque l’on utilise du tissu gingival. Certains biomatériaux à base de matrice de collagène porcin sont proposés pour remplacer le greffon palatin mais leur indication est très restreinte car ces matériaux exogènes se résorbent rapidement et ne permettent pas d’obtenir de résultats suffisamment satisfaisants.
La gestion de la douleur est une prérogative très importante pour le Dr Berdugo, il met donc en place une triple protection (pansement biologique, colle biologique et plaque de protection) de la zone de prélèvement au palais pour réduire au maximum les sensibilités post-opératoires.
Etapes d’une greffe gingivale
Cette séance (1h à 2h) se déroule en 3 temps :
- Temps 3 : le greffon et les tissus sont positionnés et stabilisés à l’aide de micro-sutures plus fines qu’un cheveu. Ces points sont retirés après 15 jours.
- Temps 1 : mobilisation des tissus : lors de cette étape, les tissus à déplacer sont mobilisés et relâchés à l’aide de micro-incisions.
- Temps 2 : lors du temps 2, un prélèvement est réalisé au palais. Ce prélèvement d’une épaisseur de 1mm présente une longueur en rapport avec le nombre de dents à traiter. Le palais est ensuite protégé à l’aide d’une éponge de collagène et d’une colle biologique pour éviter tout désagrément pendant la durée de cicatrisation (15j). Le palais se régénère totalement en quelques mois.
La chirurgie de lambeau
La chirurgie de lambeau est utilisée pour traiter les poches parodontales profondes. Elle consiste à soulever les gencives pour exposer les racines des dents et nettoyer la plaque et le tartre accumulés. Après le nettoyage, les gencives sont repositionnées pour favoriser une meilleure adhérence aux dents.
La régénération tissulaire guidée
La régénération tissulaire guidée est une technique qui utilise des membranes barrières pour diriger la croissance des tissus gingivaux. Cette méthode protège la zone opérée et permet aux cellules gingivales de se régénérer plus efficacement. On utilise souvent cette technique en combinaison avec d’autres procédures de greffe pour maximiser les résultats.
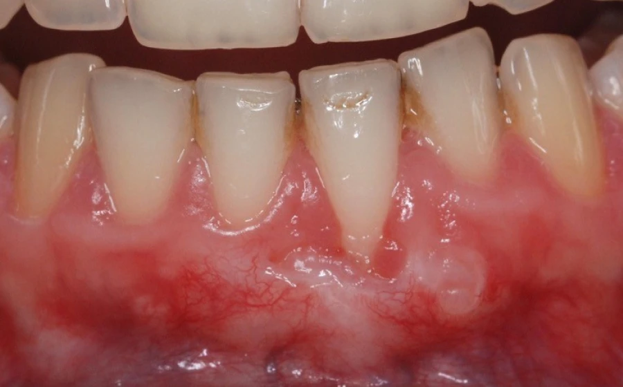
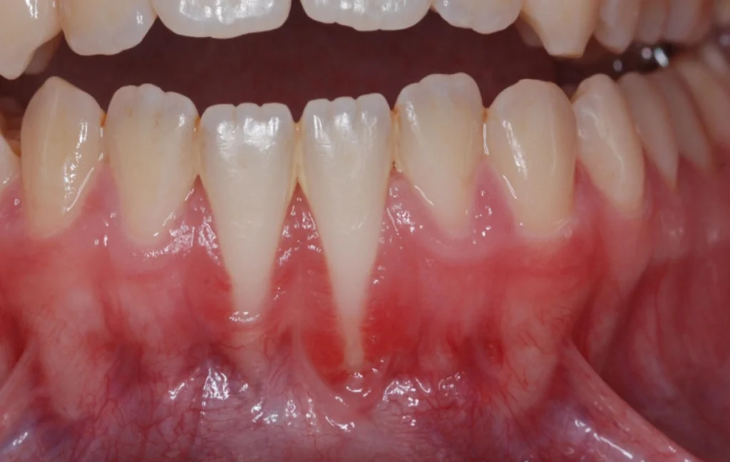
Les soins post-opératoires et la récupération
Les soins post-opératoires sont cruciaux pour assurer le succès de la chirurgie muco-gingivale. Suivre les recommandations du dentiste aide à prévenir les complications et à limiter grandement les suites opératoires en favorisant une guérison optimale.
La cicatrisation primaire dure un mois mais le résultat de ces chirurgies se stabilise entre 3 à 6 mois après le geste chirurgical.
Soins immédiats après la chirurgie
- Après la chirurgie, suivez scrupuleusement les instructions du dr Berdugo.
- Appliquez de la glace sur la zone opérée pour réduire l’enflure.
- Prenez les médicaments prescrits pour gérer la douleur et prévenir l’infection.
- Pendant 2 semaines il est préférable de favoriser une alimentation molle en évitant les aliments durs, acides ou très chauds qui pourraient perturber la zone opérée. Hydratez vous beaucoup pendant la période de cicatrisation

Hygiène bucco-dentaire
Maintenez une hygiène bucco-dentaire rigoureuse pour favoriser la guérison. Brossez-vous les dents délicatement et utilisez un rince-bouche antibactérien pour minimiser le risque d’infection. Évitez de fumer, car le tabagisme peut ralentir le processus de guérison et augmenter le risque de complications.
Une fiche de conseils précise vous sera remise après l’intervention pour vous guider pendant la période de cicatrisation.
Alimentation et habitudes de vie
Adoptez une alimentation équilibrée riche en vitamines et en minéraux pour soutenir la guérison. Consommez de préférence des aliments mous et riches en protéines . Hydratez-vous bien pour maintenir la santé générale de votre bouche et de votre corps.
Visites de suivi
Planifiez des visites régulières de suivi avec votre dentiste pour surveiller la guérison. Le dentiste vérifiera la zone opérée et s’assurera qu’il n’y a pas de signes de complications. Ces visites sont essentielles pour ajuster le plan de traitement si nécessaire.
À découvrir également : Sinus lift au Cabinet dentaire du Dr Alexandre Berdugo